Estetska stomatologija
Estetska stomatologija je u proteklih 10 godina doživjela revolucionarni napredak. Sve što je nekad bilo nezamislivo danas je ostvarivo.
Estetska stomatologija je u proteklih 10 godina doživjela revolucionarni napredak. Sve što je nekad bilo nezamislivo danas je ostvarivo.

Novim materijalima i tehnikama izrade danas se može dobiti savršen osmijeh koji će se uklopiti i neće mijenjati osobnost pacijenta. Što je moguće izradom krunica, mostova, a posebno ljuskica od cirkona ili potpunog porculana.
Keramičke ljuskice i krunice zahvaljujući prolazu svjetlosti kroz materijal od kojeg su izrađene omogućuju nam vrhunsku estetiku.
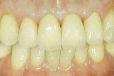
NEKADA

SADA

Izuzetna prednost novih materijala je što se uz minimalno brušenje prirodnog zuba mogu riješiti mnogi estetski nedostaci na zubima, kao što su:
Dakle, ukoliko niste zadovoljni svojim osmjehom, izgledom vlastitih zubi ili izgledom starih krunica i mostova, slobodno nam se obratite. Rado ćemo odvojiti vrijeme za Vas i ponuditi Vam optimalno rješenje koje će pridonjeti ljepoti vašeg osmjeha.
Lijep osmijeh vam omogućuje da se osjećate mlađe, samopouzdanije, privlačnije, odnosno puno ugodnije.
Izbjeljivanje zuba je postupak kojim trajno mijenjamo boju zuba za nekoliko nijansi. Ovim postupkom dobivamo nekoliko nijansi svjetlije zube što pridonosi svježijem i privlačnijem osmijehu. Nakon izvršenog pregleda, preporučamo metodu izbjeljivanja i upoznajemo pacijenta s time što možemo dostići i sa samom procedurom. Izbjeljivanje radimo preparatima na bazi aktivnog kisika.
Najčešće su potrebne dvije posjete.

Usluge
Kontakt i lokacija
Tel: +385 23 384 965
Mob: +385 98 473 023
Mail: brankamilanovicjurov@gmail.com
Šetalište kneza Branimira 10 (Nova tržnica bb) – 1. kat, 23210, Biograd na Moru
Radno vrijeme
Ponedjeljak: 13:30 – 19:00
Utorak: 13:30 – 19:00
Srijeda: 09:00 – 14:00
Četvrtak: 13:30 – 19:00
Petak: 9:00 – 12:00
Stomatološka ordinacija dr. Branka Milanović Jurov; OIB: 96923117905; Šetalište kneza Branimira 10 (Nova tržnica bb) – 1. kat, 23210, Biograd na Moru
